415 Beverly Road, Brooklyn, NY 11218
The image shows two individuals with bright smiles, one male and one female, against a neutral background.

Smile Gallery

Smile Gallery

Before

After

The image shows a before-and-after comparison of teeth with visible dental implants, highlighting the transformation from an uncorrected state to a corrected one.
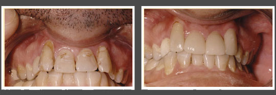
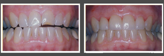
The image shows two side-by-side photographs of a person s teeth before and after dental treatment, highlighting the transformation achieved through orthodontic care.
The image shows two photographs side by side, each featuring an open mouth with teeth. The top photo displays a close-up of a person s teeth with visible decay and gum disease, while the bottom photo shows a similar view after dental treatment, where the teeth appear to be in better condition.
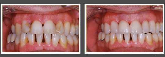
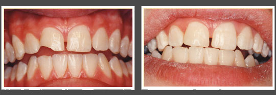
The image shows two side-by-side photographs of a person s mouth with teeth before and after dental treatment, highlighting the transformation from yellowed and gapped teeth to a cleaner and more even smile.
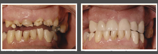
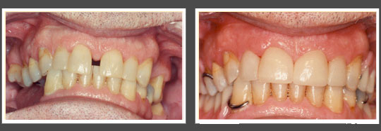
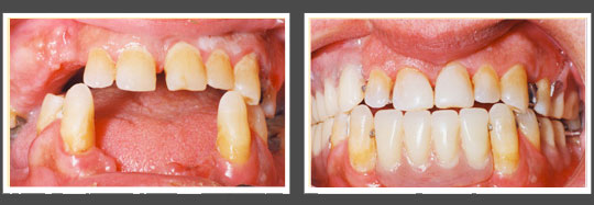
The image shows two photographs side by side of a person s teeth before and after dental treatment, highlighting the transformation from an unhealthy smile with missing teeth to a healthy one with a full set of teeth.
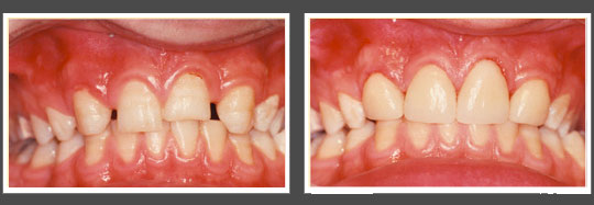
The image shows two photographs side by side of a person s teeth before and after treatment, highlighting the difference between their original condition and the result of dental care.
The image shows two photos side by side of a person s mouth with teeth before and after dental treatment, highlighting the transformation from yellowed to whiter teeth.
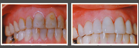
The image displays two photographs side by side, showing a close-up view of a person s teeth with a significant difference in coloration between them. On the left, the teeth appear yellowed, while on the right, they are clean and white after dental treatment.
The image shows a pair of photographs side by side, featuring a close-up view of a person s teeth with a focus on dental hygiene, likely before and after treatment or care.
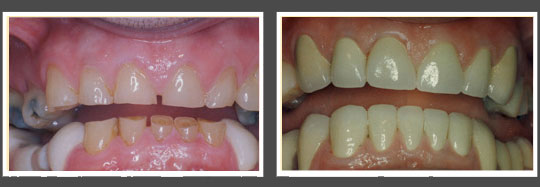
The image displays two photographs side by side, showing a person s teeth before and after dental treatment, with the bottom photo illustrating a significant improvement in the appearance of the teeth through cosmetic dentistry.
The image displays two photographs of a person s teeth before and after dental treatment, showcasing a transformation from discolored to whiter teeth.
The image shows two photos side by side of a person s teeth before and after dental treatment, likely showcasing a transformation from discolored or damaged teeth to a cleaner, more even appearance.
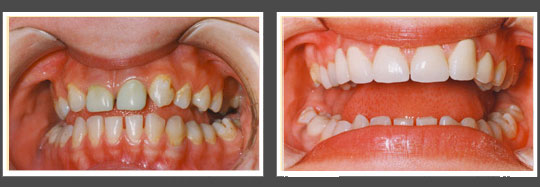
The image shows two photographs side by side of an individual s teeth before and after dental treatment, highlighting a transformation from discolored to clean and aligned teeth.
The image shows two photographs of teeth with pink gums placed side by side against a gray background.
The image displays two photographs side by side of a person s teeth before and after dental treatment, showcasing the transformation from yellowed teeth to clean, white teeth.
The image displays two photographs side by side of a person s teeth before and after dental treatment, highlighting the transformation from yellowed teeth to clean, white teeth.
The image shows two side-by-side photographs of a person s mouth with a close-up view of teeth undergoing dental treatment, highlighting the transformation from discolored to clean teeth.
Before-and-after dental treatment comparison with two images side by side.
The image shows two photographs of a person's teeth with an overlay of a red-toned substance on the upper teeth, possibly indicating a dental treatment or procedure being performed.